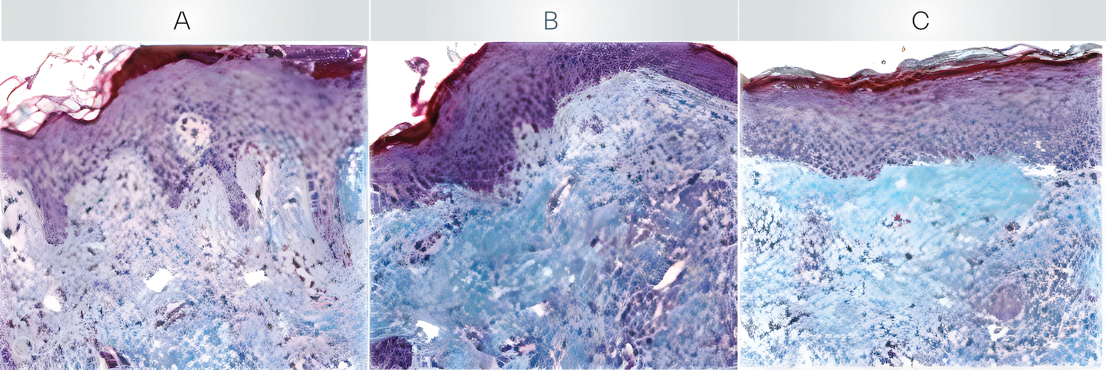
Development of dermal repair serum started with the idea that most acne scars result from loss and disruption of connective tissue fibers within dermis layer, the layer right underneath epidermis, while epidermal injury is minimal. Not only deficient collagen synthesis but also loss of collagen fibers arrangement involves in formation of scar tissue. Targeted effort of our lab has been pointed toward increasing natural ability of the skin to repair itself by potentiating its microcirculation and provision of the nutrients it needs the most as well as active biomolecules which directly or indirectly promote connective tissue repair processes.
Enriched in bioflavanoids and C-peptides this new addition to serum for acne scars works in synergy with acne scars treatment serum and Day Effect to bring optimal skin resurfacing results to your skin. Dermal repair serum , leveraged by serum technology, works within the dermis, promoting activation of connective tissue fibers to rebuild and remodel themselves by providing an environment for the growth factors to properly function.
Apply once a day in the morning before application of Day Effect nourishing cream. Wait for one to three minutes and then massage Day Effect as you need. Please visit the page for application of acne scars treatment kit.
Treating acne scarring using an at-home regimen is a lengthy treatment requires patience. However, we have developed a skin care tailored for damaged skin using high-potency serums which we have found more effective than laser skin resurfacing. This skin care changes your skin dramatically within one month. What will be more noticeable is the glow and smoothness in your skin rather than scar lesions. Deep facial scars may never disappear completely, yet, your skin will divert into a skin strikingly different appearance in terms of overall smoothness and radiance while appearance of acne scars becomes far less pronounced. Aging scars, due to loss of connective tissue within deeper layers of the skin, later in life may precipitate concern which is well managed by regular daily use of dermal repair. Read also frequently asked questions.

This system takes six to twelve months to smooth away damaged lesions, depends on their depth. Resurfacing acne scar serum works on the surface of the skin, epidermis, as well as deep within the dermis layer and performs as an at-home regimen for scar removal. It also benefits from re-texturizing properties of multiple agents for skin resurfacing, damaged by long-held acne. Hippocrates promise to provide the most valuable information for visitors.
Persistent atrophic acne scars—particularly those formed from prolonged inflammatory acne—present a unique challenge due to the disruption of collagen fiber alignment in the dermis, rather than extensive damage to the epidermis. This fundamental understanding underpins the formulation of the dermal repair serum, which addresses both biochemical and structural deficiencies that characterize mature scar tissue.
Unlike superficial discolorations or transient post-inflammatory hyperpigmentation, atrophic scars reflect a loss of dermal integrity and impaired extracellular matrix regeneration. Recent dermatological evidence suggests that sustained use of reparative agents that target deep dermal remodeling—such as peptide-enriched serums—can support collagen synthesis and improve the appearance of deep acne scars over time.
In particular, this at-home regimen offers an appealing alternative for patients who ask, “do at-home acne scar treatments actually work?” or “is there a non-invasive alternative to laser for deep acne scars?”. While lasers remain effective in some cases, concerns over cost, downtime, and post-procedure sensitivity make high-potency serums for acne scars on sensitive skin an increasingly recommended option, especially for individuals who are not candidates for ablative procedures.
Key ingredients such as bioflavonoids, C-peptides, and growth factor stabilizers in dermal repair serum promote not only fibroblast activity but also microcirculation enhancement, facilitating delivery of oxygen and nutrients to damaged tissue. This becomes crucial when considering when to seek treatment for old acne scars, as aging skin shows reduced regenerative capacity and slower extracellular matrix turnover.
Clinical feedback and observational studies show that long-term use of dermal repair serum (6–12 months) is associated with improved skin firmness, reduced depth of atrophic scars, and better overall skin tone. For patients who often search for “best topical treatments for pitted acne scars at home” or “how long for acne scars to fade naturally with serum-based treatment”, this system offers both a practical and evidence-aligned approach.
Moreover, the synergistic interaction between dermal repair serum and acne scar treatment serum leverages both surface-level exfoliation and deep dermal repair, facilitating dual-level correction. While not all acne scars can be fully eliminated, this combined protocol can significantly improve textural irregularities and reduce the visual contrast between scarred and healthy skin areas.
Ultimately, early intervention, consistent application, and a regimen tailored to the scar type and skin biology remain the cornerstones of effective acne scar therapy. For individuals seeking non-invasive acne scar treatment with minimal risk and maximum collagen support, a well-structured serum-based regimen offers a scientifically grounded and accessible solution.